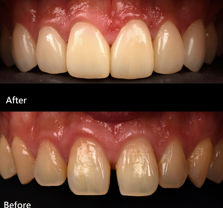
一名27歲李姓女子,天生牙齒小、齒縫大,平日不敢露齒歡笑,想要另找新工作,又怕給人不好印象。羅東博愛醫院美容牙科主治醫師張志漢評估後,為她施以全瓷貼片治療,如今已能充滿自信,大方露齒展顏歡笑。
.jpg)
張志漢表示,瓷牙貼片能夠微調牙齒的形狀、排列、長度與顏色,達到牙齒整齊和美白的效果。全瓷貼片的材質,一般為長石或二矽酸鋰,與牙齦的生物相容性佳,亦可支撐前牙的咬合力,而且只要患者本身潔牙習慣好、沒有牙周病問題,就不用擔心貼片會對牙齦造成傷害。
.jpg)
全瓷貼片的治療,是透過將牙齒表面磨掉薄薄一層,再利用酸蝕粘合的技術,將0.3至0.5mm的瓷片,以特殊高強度黏合劑將瓷片黏著在牙齒表面上,在正常保養下,貼片的使用年限約可長達10年~15年。
.jpg)
做完全瓷貼片療程後,牙齒的保養方式和一般牙齒一樣,三餐飯後照常刷牙、使用牙線,但仍需按照醫囑定期回診、檢查牙齒咬合和清潔狀態。認真的保養和潔牙,能確保口腔健康、有效預防做完貼片的牙齒產生齲齒與牙齦炎,同時確保維持自信的迷人笑容。


